Giới Thiệu
- Giới thiệu về Phòng Khám
- GIỚI THIỆU VỀ BÁC SỸ
Kết Quả Điều Trị
Tư Vấn
Bệnh Học
Thư Viện Ảnh
Thuốc Da Liễu
Tin Tức
- Y TẾ
- DA LIỄU
Lịch Khám
Liên Hệ
THƯ VIỆN ẢNH
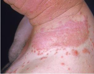
VIÊM DA TIẾP XÚC KÍCH ỨNG
(irritant contact dermatitis)
CÁC THƯ VIỆN ẢNH KHÁC
1
Á SỪNG BÀN CHÂN
2
Á SỪNG BÀN TAY
3
Á VẢY NẾN
4
ẤU TRÙNG DI CHUYỂN (Larva migrans)
5
BAN DA THƯỜNG GẶP NHẤT
6
BAN DA THƯỜNG GẶP Ở MẶT
7
BỆNH CHÂN TAY MIỆNG
8
BỆNH DA BÀN CHÂN NAM
9
BỆNH DA BÀN CHÂN NỮ
10
BỆNH DA BÀN TAY NAM
11
BỆNH DA BÀN TAY NỮ
12
BỆNH DA CÁNH TAY NAM
13
BỆNH DA CÁNH TAY NỮ
14
BỆNH DA ĐEN DO TỤ CẦU VÀNG
15
BỆNH DA KẼ NGÓN CHÂN NAM
Bạn Đang Xem 1-15 (Trong 150)
Trang:
1
-
2
-
3
-
4
-
5
-
6
-
7
-
8
-
9
-
10
« Trước ·
Sau »
Email:
dalieudongdieu@gmail.com
dalieuvietnam@gmail.com
Sơ Đồ Đường Đi
Tìm Kiếm
TỪ ĐIỂN
TÌM HIỂU DA CỦA BẠN
Bạn Cần Biết
Các biểu hiện ngoài da của bệnh tiểu đường
Dấu hiệu bạn có thể bị nhiễm HIV
Dinh dưỡng và ăn uống lành mạnh
Bệnh lậu
Sức khỏe tình dục
Hướng dẫn chăm sóc bệnh nhân sởi tại nhà và bệnh viện
Phác đồ chẩn đoán điều trị và phòng bệnh cúm A/H7N9 của Bộ Y tế
Các bệnh da ở người cao tuổi
Liên Kết Website
------ Chon website -------
BỘ Y TẾ VIỆT NAM
BV DA LIỄU TW
BV DA LIỄU TP. HCM
BV DA LIỄU TW QUY HÒA
Quảng Cáo
Liên Hệ: 0913.407.557
FACEBOOK
Số Lượng Truy Cập